The EPA Banned Methylene Chloride The Environmental Protection Agency announced Tuesday a ban on most uses of methylene chloride. It is a toxic solvent used in paint stripping. It is linked to at least 88 accidental deaths since 1980. This final ruling strengthens the crackdown the Biden Administration is doing on different chemicals known to […]
Senator Calls for Action Against Philips Respironics
Senator Calls for Action Against Philips Respironics U.S. Senator Richard Blumenthal recently expanded his call to action against Philips Respironics. He sent a letter to Federal regulators demanding aggressive enforcement against the company due to it not warning the public about a dangerous defect in its breathing machines. He sent a letter to U.S. Food […]
22 years On, People are Still Struggling from the Aftermath of 9/11
22 years On, People are Still Struggling from the Aftermath of 9/11 This past Tuesday was the 22nd anniversary of the 9/11 attacks on the Word Trade Center. Many people died that day, and many people continue to die due to exposure to harmful chemicals. Almost 3,000 people died the day of the attack, but […]
Many Workers Exposed to Asbestos at Chlor-Alkali Plants
Many Workers Exposed to Asbestos at Chlor-Alkali Plants Many chlor-alkali factory workers claim they were exposed to asbestos on the job. In the Olin Corp. chemical plant, workers saw asbestos in certain areas of the plant daily. Some people who worked in the plant as recently as last year say they were exposed to asbestos […]
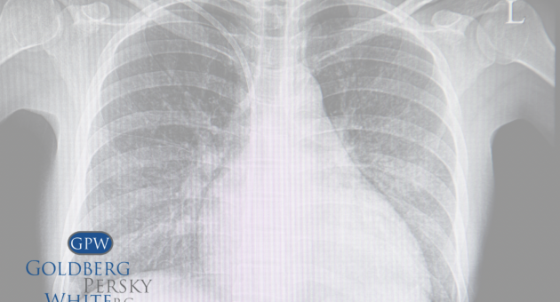
Lung Cancer Awareness Month 2022
Lung Cancer Awareness Month 2022 November is Lung Cancer Awareness Month. There are two types of lung cancer: non-small cell lung cancer and small cell lung cancer. Most cases, around 80 to 85 percent of lung cancers, are non-small cell. It can be broken down into adenocarcinoma, squamous cell carcinoma, and large cell carcinoma. These […]
Weirton Steel Mill
Weirton Steel Mill Weirton Steel was founded by Ernest Weir in 1909. He originally started at U.S. Steel and ended up as a general manager of the Monessen tin plate mill, but in 1905, he left to buy a tin plate mill in Clarksburg, West Virginia. He expanded his operation to Holiday’s Cove, which was […]
Mesothelioma Awareness Month 2022
Mesothelioma Awareness Month 2022 September is Mesothelioma Awareness Month. Mesothelioma is a rare cancer of the mesothelium, which is a thin membrane that lines different areas of the body. The four types of mesothelioma include: pleural, peritoneal, pericardial, and vaginalis testis which affect the linings of the lungs, abdomen, heart, and testicles respectively. There are […]
Johnson & Johnson Stopping Worldwide Talc Based Baby Powder Sales
Johnson & Johnson Stopping Worldwide Talc Based Baby Powder Sales Johnson & Johnson is ending sales of all talc-based baby powders around the world in 2023. It has previously stopped selling the baby powder product in the United States and Canada in 2020. Many lawsuits have been filed against the company due to the talc-based […]
Researchers are Looking at Brain Healing Times of Football Players and Other Athletes
Researchers are Looking at Brain Healing Times of Football Players and Other Athletes Research is trying to find why it takes so long for brains to heal after playing football. Researchers are looking at brains of people who played professional football and are trying to find why brains are working overtime to try to heal […]









